محققان توانستند روش منحصربفرد مارها برای جایگزین کردن دندانهایشان را کشف کنند که به شناسایی ردهبندی فسیل آنها نیز کمک کرد.
پریسا عباسی- بر اساس مطالعه جدید که به سرپرستی محققی از مرکز علوم بالینی، دهان، و کاربردیسازی در کینگزکالج لندن انجام شد، تفاوتهای کلیدی در روش جایگزینی دندان توسط مارها و سایر خزندگان شناسایی شد و آنها مکانیزمی را تشخیص دادند که به مارها اجازه میدهد تا دندانهای قدیمی خود را بریزند و دندانهای جدید را جایگزین آن کنند.
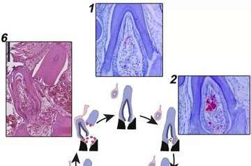
بیشتر خزندگان به طور دائمی دندانهای خود را با دندانهای جدید جایگزین میکنند. با اینحال، در آروارهس مارها هیچ نشانهای از اینکه چطور آنها دندانهای قدیمی خود را برمیدارند وجود ندارد. در حالیکه سایر خزندگان، برخلاف مارها، دارای حفرههای جایگزینی دندان هستند که با شروع رشد یک دندان جدید ایجاد میشوند. این حفرههای جایگزینی، پایههای دندان قدیمیتر را میخورند و در فرآیندی به نام تحلیل رفتن دندان خارجی، کمک میکنند.
یافتههای این مطالعه نشان داد که مارها فاقد این حفرهها هستند و در عوض قادرند دندانهای قدیمی را از طریق عملکرد غیر معمول ادنوکلاستها (سلولهایی که بافت دندان را بر میدارند) که عاج دندان را از داخل تجزیه میکنند، برداشته و دندان جدید را جایگزین کنند.
این یافتهها نشان میدهند که شواهد این تحلیلرفتگی داخل دندان را، میتوان حتی با استفاده از روشهای غیرتهاجمی، نظیر اسکن توموگرافی کامپیوتری نیز تشخیص داد. محققان با ترکیب این رویکردها، نشان دادند که این شکل منحصربفرد برای جایگزینی دندان، در سرتاسر درخت تکاملی مارها وجود دارد.

دکتر آرون لبلانک، نویسنده ارشد این مطالعه و مدرس علوم زیستی دندان در دانشکده دندانپزشکی، دهان و علوم جمجمه و صورت میگوید:«با اکتشافات جدید فسیل مارهای باستانی، درازای عمر آنها به دوران دایناسورها میرسد. اما ممکن است زمانی فرا برسد که تفاوت بین «مارمولک» و «مار» بسیار گنگ و مبهم شود. ما به نشانههای تشریحی نیاز داریم که مختص به مارها باشند و نیاز داریم این نشانهها در تمام گونههای زنده و یا منقرض شده مارها، و یا حتی فسیلهای آنها، حفظ شده و قابل شناسایی باشند. ممکن است بتوانیم با استفاده از مکانیسم ریزش دندان در مارها، مدارک جدیدی که مستقل از آناتومی جمجمه و بدن آنها باشد، برای شناسایی گونه فسیلهایی که آروارههای آنها را در اختیار داریم، ارائه دهیم و ثابت کنیم که آنها متعلق به خانواده مارها بودهاند.
جایگزینی این چنینی دندان، در هیچ خزنده یا مارمولکی وجود ندارد. هر یک از دندانهای مارها، در مقاطع مختلف زندگی، تغییرات شگرفی را تجربه میکنند: پالپ داخلی هر دندان، پر از سلولهای بزرگی میشوند که شروع به خوردن دندانها از داخل میکنند. این فرآیند نهایتا پایه دندان را ضعیف میکند تا دندان از فک جدا شده و جای خود را به دندان جدیدی که در حال رشد است بدهد.

محققان با استفاده از توموگرافی کامپیوتری، اسکلتهای گونههای موجود را بررسی کردند و داخل بافتهای دندانی باقیمانده از ادونتوکلاستها «علامت گزیدگی»ای را شناسایی کردند که میتوانستند دوباره داخل دندانها جذب شوند.
سپس محققان از این روش برای تشخیص «علامت گزیدگی» در داخل دندانهای مار فسیلی Yurlunggur و یکی از قدیمیترین فسیلهای مار یافت شده، که یک قطعه آرواره ۱۵۰ میلیون ساله پرتالوفیس است استفاده کردند. این نشان داد که این ویژگی از اولین ابداعات خانواده مارها، حتی قبل از زمانی است که آنها سایر اندام خود را از دست بدهند.
منبع: phys


آخرین دیدگاه